My scoliosis was found when I was 16 years old. I had problems with my hips hurting but I had gotten along since then by going to a physical therapist now and again. It progressed in degrees after I turned 65. It held at about 45 degrees for several years and then quickly got worse until I had to quit hiking Phoenix South Mountain. Then it stopped me from working. I had to find a surgeon to help me.
Now I know why every time a surgeon says he would have a patient get in touch with me, they never did. They are reluctant to let you know how difficult it is going to be. I wanted to know what to expect with a surgery. The internet had a blog of a young girl. Her mother helped her put it together along with pictures and the way the surgery went. I knew what I was in for except the pains of the body with the new spine takes a lot of getting used to. Things change almost every day. I will give you some idea of the journey. If you decide to go ahead I will send pictures of the things that will help you make every day easier. Try everything first. I had several epidurals. With the last one last July the Mayo Dr. said that he could no longer get his medicine in to help any. That was when I had "hit the wall" and started trying to see where and who to talk to. The surgeon at UCSF called me and had me come talk to him. I liked him very much but San Francisco would have been very hard for my husband and I to be together. Scottsdale Mayo Clinic did not have anyone here that could do it. Bob's knee was done at Hedley Orthopedic Institute but they did not want to do it. Our son David suggested that we contact Barrow because their neurosurgeon at UCSF trained at Barrow. It took a couple months to see the surgeon to see if he would take me. Then it took another couple months to get on the surgery schedule. Start about a year before you cannot walk any more. It takes that long to get the tests and work through all paper work and appointments. I could no longer walk more that about 300 feet.
Jan. 4, 2017
The surgery was 12 hours long. The way Bob understood it was that my blood was replaced 3 times. I did not wake up for 3 days. I did not know then that they had even done the surgery. When I did, Bob had to feed me. My hands still seem to drop things. My left leg and abdomen hurt the worst. I am told that my body has to get used to the changes. There were 63 staples down my back. I was at Barrow ( St Joseph) for 10 days I believe. The surgeon did a wonderful job and spared all the nerves.
Bob stayed with me in St Joseph’s Hospital followed by acute rehab for about 23 days and nights. He slept on a couch, chair and finally 3 days on a cot. He spent several nights with his head on the side of the bed and hung onto me. He had to make all the decisions including picking my brace.
After the ten day hospital stay, I was sent to acute rehab for thirteen days. That was initially very scary because the nurses there did not look at what had been done to me. Thankfully, I was wearing a brace. I had to pull myself up on the side of the bed the second day I was there. It hurts between the shoulder blades to this day. I was up and showered on the second day. If I wanted to eat I had to make it to the cafeteria with a walker or wheelchair. I was worked out 3 hours a day. The worst part was the frequent nausea which accompanied being so tired. At acute rehab they taught me to dress myself, take a shower, pick with the "picker" to reach things, get into our Yukon, go up at least 12 stairs, get in and out of bed, etc.
I was wearing a custom brace made of styrofoam and plastic. I wore it 24 hrs a day for a month then after just when I was up. I took it off after 2 months. This picture was taken at my first outing, 6 weeks after the surgery.
March
It has been 2 months now and the other day I went into Subway and ordered my own sandwich!
I hiked the Desert Classic 3 miles a couple times at the 2 month time but most generally 2 miles. I am stronger every day. I can walk better than doing anything else. At first I used the walker, then my hiking poles and now nothing.
I have been going to Rehab since leaving acute rehab. The Physical Therapist works on the muscles in my neck and back. He looked at my x-rays so knows what can be done and what he is not to do. He stretches the hamstrings. My muscles and skin are tender. I do exercises with weights on my ankles. They are building up my leg muscles because I cannot bend from the waist. I have to bend at the hips.The screws hurt doing that. I cannot get on the floor yet because I could not get up. I hope they teach me soon how that can be done. I can do most everything with the “picker” and a pole with a towel on it. I cannot vacuum, get under the couches, or tie my shoes. If I am out without the picker and drop something I have to ask someone to pick it up for me.
This is the fourth month and I now drive. The Yukon seat does not fit. I have to put a pillow at my waist. But the good thing is, with being 2 inches taller I can set up and see over the steering wheel and look like I am tall enough to drive. There are places in my back that hurt when I am up, and across the top of my hips and at the coccyx. I get tired. The only medicine I can take is tramadol with a dramamine. All the good stuff makes me very sick. But I can have nothing more than an aspirin if I am driving.
The nerves in my back are coming alive more every day. It feels like little electric shocks at times. These also come in different parts of my body. I am stronger now and can do more house work. But I get tired as the day goes on. By 3 pm my body just gives out. My bones hurt all over. I feel like ants are crawling.
They want me at rehab at 6am or after 3 pm in the afternoon. It seems like they are ready to have rehab over. Maybe they can do no more for me. I think the therapist massaging my back helps me the most. I went to my regular massage place and had them work on my arms, legs, feet and neck.
This was a month of hard work in rehab to get ready for the trip to Atlanta for Granddaughter Grace and Grandson James and their graduations. We thought that we had everything under control to make it easy. Airport shuttle, baggage checked, rental car and motel. There was still a bag drag. The Atlanta airport I believe is the largest in the US. There were no airplane seats for us to sit together. The poor man I sat with had to look out for me. You have to put everything under the seat ahead of you for takeoff and landing. Feet come in handy but to get it back up when I still can only reach to about 6 inches off the floor, I have to have help. Then thinking that Southwest would have one of those little pillows for my back so I can sit up straight without my chin on my chest…no more do they have them. The little boy at the window seat gave up his bear pillow for me.
Upon arrival my sister Debbie met us. Then off on the tram to baggage. Hang on. It jerks when it starts and stops and we had about 4 of these. Then off to baggage. From there we had to take the Sky Train to the car rental. A jeep without a bar to step on and no grab bar to get in. Thank goodness rehab had me stepping high and higher. The motel was great. They gave me the walk-in shower with a seat and grab bars. I did take tramadol twice each day. Off to dinner at Shan and Nancy’s house.
The next morning was James’ graduation. He will be a high school freshman in the fall. Stadium seating, we got on the 3rd row. Looking at all those steps and nothing to hang on to….
Next was Grace’s high school graduation that night at 7PM. Pictures first…. then a great dinner. Parking was a way away but they had golf carts to take us to the door. Again stadium seating. We lucked out a family on the top row had 3 seats available that we got and I fit. Long story short. Traveling is not easy. And this was my 5th month.
On our way home from Atlanta I told TSA that I may need to go through the scanner. Directed to lane 3, walked into the scanner, walked out and TSA says “ I have to pat you down” and with that she started on my back! Must have seen the hardware and thought I was a bomb.
I caught cold. Two weeks of coughing. This one put me in bed. Every time I coughed it grabbed my back. I am better now but the back seemed to start waking up in patches. The left side and the sacral areas are coming to life. It feels better to wear something under my clothes so they don’t rub. Now I can wash my own back. My right scapula is hurting along with my neck on that side. Feels like a knotted up spasm when I use it. Time to try the anti-spasm med. Rehab is working on it.
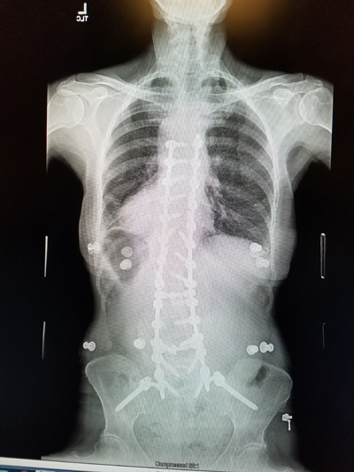
Day 22 of June. Time to go back and take a look at the xrays, Dr. Kakarla of Barrow Brain and Spine says the xrays look okay. Now I can get on one knee and get down to the floor.
Tried the hand held vacuum. It's hard on the knees. Need the knee guards from my roller skating box. I tried the jetted tub. Worked great until the bubbles started getting high and then could not rinse off. The hiking pole is wonderful to help keeping me stable. Still walking 2 miles every day I can.
Took 2 Real Estate Classes in Scottsdale, About 20 miles. Drove myself.
Dr. Kakarla at Barrow took a look at my x-rays and it looks like the screws and rods are holding. I can now start trying to pick things up from the floor by putting one knee down. Did okay on the carpet but hard tile does not work. I did spot vacuuming with my little hand held vacuum. I could do that with both knees on floor. I am still going to rehab and walking 2 miles a day. The spasms are really getting to me.
I had told you I would post things that would make your day to day better. The first was the pillow in the car to go home. Then a small pillow for any chair every day. I do not fit in most chairs. The truck seat just does not work out without a small pillow. I had a bidet put on the toilet tank. It came in handy while I was in the brace for 6 weeks. Got a spinner type cleaning long handled brush for cleaning the shower and tub. I use my hiking poles for many things. I did not want to use a cane and I find these to be useful to scrub a floor with a rag. I have a small light weight stool for getting in and out of bed and reaching for things that are too high. I have a small rail on the side of the bed that works great to hang onto getting into bed. The log roll was the first thing they taught me in the hospital to get in and out of bed. The "picker" as I call it, has to be hunted up many times a day. I seem to drop everything. I found it helpful in changing laundry from washer to the dryer. In acute rehab I was taught to use a sock assist thing to put them on. Works great but still cannot get my legs crossed high enough to tie my shoes. A shower chair is a necessity along with a small caddy on the shower wall. I find that I need two of everything in the shower because I always drop something.
I have many sleep tee shirts that I can slip on and some running shorts so I look dressed. I used the wheel chair only once. But a walker in pink that my husband bought me took me walking first in the house, then in the neighborhood. My hiking poles took over very quickly. I have head phones that are paired to my computers. They make everything alright for a couple hours in the afternoon. I am sure I have left something out so just ask. We hire the yard, windows, and major vacuuming done for us but otherwise we can take care of everything else.
This is the time we go to Utah to fly fish in our float tubes. We are not going to make it this year. Just not ready to get the gear on without bending or twisting. Need to practice.
End of July
Scheduled Rehab is over. I passed the hurdle test. Yesterday I tied my own shoes by putting my foot up on the edge of the tub enclosure. Yesterday I hiked 3 miles on South Mountain.
My back still has the stiffness and spasms but now they seem to be closer to the spine. The area across my hips also seems to be coming alive. This is my 7th month. I am a realtor so I have to be able to open the lock boxes to get the property keys that most agents put on the water pipe.
August has been a bit disappointing. I had planned to have all of my back awake. It has not happened. About 2 inches on either side of my spine feel like cardboard and are stiff. Where the screws went in on my hips, it is stiff and cardboard feeling also. Not really pain but unnerving. I got a cushion for my tailbone so I can watch TV for a longer time without getting up and walking around. I am hiking 14 miles a week. I am sure I will be able to do more when Phoenix gets a little cooler. The dry heat helps but over 90 degrees is still hot. I can now tie my hiking boots by putting my foot up on the bathtub.
We went to the Odysea (aquarium) to check it out before Thanksgiving. I can enjoy walking for at least 2 hours at a time. It could not happen before my surgery. We will really enjoy having family here for Thanksgiving. A little scary because it has been a long while since I could prepare a meal for a large group. It seems like a long way out for that date but I have to plan early for everything.
After my scheduled rehab was over I made appointments at the Hand and Stone for every week. I had banked about 6 months of massages. I don't let them touch the spine area or across the hips. But I have gotten brave enough to lie on my stomach and have my neck and shoulders worked on.
My body just cannot believe that my head is straight on my shoulders. I still do all the rehab exercises at home. I have all the equipment. Bob also bought a new mattress. It really feels great. I have put away most all the invalid stuff. But the hiking poles and picker stay handy. I can get within 3 inches of the floor now. It is amazing what your toes can do for you. I am sure that I will always have to use the sock gadget and long handled shoe horn.
I have been using the jetted tub now and again. I put a nonslip mat in the bottom so I can get to my knees and stand up to get out. I tried it in the regular tub, big mistake. There was not room to get my legs under me to even pull myself up at the side. Bob had to come help me up. Now I know how those old ladies say "I have fallen and can't get up". Also, I can get down on my hands and knees to pick things up. But I must not forget to have a pole with me or be near something to hang on to. I will keep working with the 4 pound weights on my legs to get them stronger.
This month was a little better. I do much more every day. The spasms are still doing a number on my back and the screw in the left hip lets me know that it is there but I do not take anything except a muscle relaxer at night. Do you know that you use your back muscles to lift a glass of water? I am up to 21 miles on South Mountain every week.
Dr. Kakala says no float tube fly fishing until my year is up. I think Bob made a mistake explaining to him how it works, and showed him a picture of my gear. I think I could do it with help getting my waders and fins on. But if I mess up Dr. Kakala's work he would not be happy. He has his interns with him when he sees me. I still have not found anyone my age having this complicated surgery.
I just finished a 6 week Hand and Stone massage. I went once a week and had a deep tissue masseur work on my legs, arms and feet. I made him look at my xrays and never let him near my spine. I now can squat down to pick things up off the floor and get back up. Not good at it, but my hips are doing a much better job.
I am doing without the bed rail but I do miss it. I don't know how anyone could get in and out of bed without it for the first few months. I can now easily turn onto my sides in bed but lying on my back is best. No discomfort at all. Sitting is still uncomfortable. The incision came pretty far down on my tail bone. I have a cushion for watching TV. Otherwise I sit on my "sits bones" on the edge of chairs.
Off to Louisville, KY this next month for our Daughter in Law's Ironman. Will let you know how I do. The plane ride will be long and there will be a lot of walking.
I get stronger every month. That doesn't mean that my back is not stiff and feels like card board much of the time. I do still feel the screws in the iliac and the coccyx hurts a little much of the time.. But the golf ball feeling is getting better. I have found that massaging the top of the hips with a tennis ball seems to be working. I can pick thing up off the floor. It is not easy some days. But I seldom need the griper.
Scoliosis Warriors have mentioned that they have tried the Eqoscue and Schroth exercises. I looked them up and tried the ones that I thought would work for me. I had a pain at the scapula area of my back since the surgery. PT and Massager both had worked on it. Made it better but came right back. I did the exercises and the pain is gone! I will keep up on them. Hope it means that the pain is gone forever. Let me know if it works for you. I do still walk stiff.
I now hike 3 to 4 miles every day. Never want to stop at 2. That means I have increased the hike to about 25 miles a week. This month I used the ladder to clean shelves and shutters. I do plan on having the window washers help with fans and windows. It takes them about 30 min. to do the whole job where it would take me several hours. Next I will try the vacuum.

We went to Louisville, Kentucky for the Ironman, our daughter in law Nancy swam 2.4 miles, biked 112 miles than ran 26.2 miles. That was a long day. A lot of in and out of the car as we followed her from town to town.

She finished at a few minutes of midnight. Now Rita, Dave, Shan, and Nancy are all Ironmen. They have the ending of the run lined with plastic barriers the last block. On lookers stood behind and beat on them. Sounded like drums. Then the loud speaker, music playing and the lighted board as they came through….. My back started to spasm all over. It felt like the ground was moving. I had to quickly leave. I would guess this would happen at a very loud concert too. I believe that I walked more than the 4 miles that day. I could never have enjoyed a day like that before the surgery.

The airport….Yes, I was patted down again. Did take a small pillow for my back so I could sit in all the seats okay.
Next will be Thanksgiving at our house. I will let you know how all the cooking goes.
There has not been much change in the way my back feels. It is still stiff about 2 inches on both sides of the spine. By night it seems to extend up higher. The coccyx area where the screws are in the hip area is very touchy. Bob uses a tennis ball to massage across that area. I still am taking a muscle relaxer at night. The bed feels great by night time.
Thanksgiving went very well. It was the first time in several years that I could bake and not hurt. I made pies, rolls etc. How wonderful to be able to set a nice table and cook a Thanksgiving dinner. We had a good time together and I could walk.
I can hike up to 5 miles without getting tired. I did 4.5 miles at the foot of South Mountain to a spot we call bikers rest. This is the first on a really rough trail. I am much stronger this month even though the back has not improved that much. I am to see the surgeon the first part of Jan. That will be my year.

I want to share with you warriors the bed rail I used to get in and out of bed. Never let someone help you by pulling on your arms. You can barrel roll to the side of the bed, swing your legs over the side, then pull yourself up by using the rail.
I put away the shower chair this month. I still keep the gripper handy so if I am tired I can use it. But I can now go down to the floor to pick up things. I always drop the soap in the shower. I can now pick it up! It is still a good idea to have something to help me stand up again.
I am like the ant and the rubber tree. I have high hopes. This month is my 12th month. I had planned on being almost perfect. It has not happened. I can almost do everything but my back is very stiff. A little like a vice grip. I think every morning that as my feet hit the floor it will all be gone. It is not so bad in the morning but as the day progresses it becomes stiffer.
I am taking only one Flexeril in the evening. It does not seem to help much but I feel great as long as I am lying down. It may be also helping me feel great on my bed. Also leaning my back against my cushion to watch TV I feels okay. But when I get up I feel it. No one can notice as I hike the 4 to 5 miles on the Desert Classic at South Mountain. My body likes to keep moving.
I go January 16 to have my year X-ray and be checked. If everything is healing correctly and the hardware is holding, I will accept this as my new normal.
My husband is massaging my hips where the “bolts” are. He says that he keeps increasing the pressure. They now feel like large marbles instead of golf balls when I first lay down on them. My back can be massaged everywhere but about 2 inches on either side of my incision. My scar is fading more and more.
My primary doctor thinks Lyrica is the medicine I should be taking. He thinks it is nerve pain that is bothering me. I think it is muscle. Lyrica side effects scare me.
The only things I cannot do easily are putting my socks on and off and tying my shoes. I can only bend from my hips and my arms just won’t reach that far. I put my foot upon something that is at least 2 feet high. My upper leg is getting better and better bending. I can now pickup things from the floor much easier. The more I do it the easier it gets.
Every morning and night I look in the mirror to make sure that I am still straight!
My year is up and I have had my 1 year x-rays and Surgeon appointment. Everything looks to be holding. I guess you would say that I no longer have scoliosis. I do still have that cardboard feeling in the muscles of my back. I mentioned to Dr. Kakarla that when I try to lift a gallon of milk the back goes into spasms and gets tighter. He decided that I needed another 30 sessions at physical therapy to make my upper body and legs stronger.
I went to look at a property in Tucson near Mt. Lemmon. It had many buildings to it and very uneven stone walkways with railroad ties and the main house had step downs and narrow stairs. There were no rails. I was very afraid of falling. I need more practice using stairs. Also found I need to always have a hiking pole handy.
I still am doing the 4 mile hike. So with 3 times a week at PT and the hike my days are busy. Hope we can get started with our summer by Easter. Here are two views of my spine at my one year checkup.


It has been 1.5 years since my scoliosis surgery. I am stronger every day and can do most everything. The last years before the surgery I could not bend from the waist without pain in my hips, so not being able to bend now is no different. I do some of the exercises every day. My husband stretches my hamstrings every day and massages the back muscles. The tightness in those muscles and iliac just never gives up. I have found that wearing my water pack helps and using a pillow in the car helps a lot. The Drs. don't think that I need any medicine for it. Tylenol is what they want me to take. My body does not like it. I love my bed. I do not hurt at all when I lay down on my back. I feel more turning over in bed, not really pain, but more now than 6 months out. I am much better if I keep moving. We took a road trip to northern California. I rode about 8 hours each for 4 days total, there and back. While there, I fished in the float tube using my force fins for a total of about 6 hours. Two hours on the McCloud Reservoir twice and Kangaroo Lake once. I hiked two miles along the Sacramento River, sat watching my granddaughter try out Siskiyou Lake with Mt Shasta in the background, and walked Shasta City, for about 2 miles with the family last week. I can get my fishing gear on with the sock assist. Getting the waders off is something else. Just have to ask for help.
Here are some things that might help you. Remember that many of the medical workers have no idea what we have had done. Carry an x-ray picture with you. They tried to pull me up in bed when I slid down. The area where they started my incision really hurt and still does at times. Never let anyone pull on you. You take their arm or hand and pull yourself. They tried to give me drinks sitting up a little in bed. The water ran down onto my gown. One cannot swallow correctly with the neck bent. Sit on the edge of the bed or get yourself upright. You will become dehydrated. I found magnesium sulfate fizz will help get the intestines to wake up. Also, the medical staff insisted that I put in 3 hours of acute physical therapy every day. By the time I bathed and went to the dining hall I was so tired that I begged to rest. They would not let me rest until I finally vomited.
If the surgeon has a PA or nurse one could call with questions, it would help to understand each fear or pain that is different. The scoliosis, spine fusion/back pain survivors group or spine groups on Facebook that are closed and you have to be invited to join are where you can go to read about other's surgeries or what they have had happen to them. I found that I was not alone.
Lastly, remember when the surgeon told us that the recovery would be a year? This is not true for everyone. Our support, work, neighbors and family are ready for us to be back in the swing of things. They want to hear that we are doing great. Even those that love us most get tired of the long recovery.
Ann’s Back at 2 and a half years:
It has been 2 and a half years post op. At 2 years the Dr. told me that my back has fused. That doesn’t mean that all feels okay. I still have the feeling that it is tight and sometimes it hurts to have it touched. PT has been working on my neck. This was not new. I had problems before the surgery. The right side pulls and hurts to turn my head. X-ray showed that I do have an old neck. I do exercises every night and now my head looks like it is on straight most days. I have tried CBD on my neck and on my back but it does very little good. I read that most people take medication for their discomfort but, I have not found any that really takes it all away and medication makes me feel bad.
One thing that I really need help with are the cramps in my calves and the arches in my feet. It happens in the pool and scares me. I have upped my Magnesium to 800 mgs. and my Potassium to 200 mg. I do drink a lot of water but need more help with this. I also have fainted. Not like me to do this. I have no alert just find myself on the floor. Afterward when I take my BP I find it to be about 90/60. When I am at my family Dr. it runs over 140/70. He thinks I have high blood pressure.
What does help is to keep moving and do things that take my mind off of it. There are so many people that are worse off than me and that this is so much better than before .I can live with it. We just got back from a road trip to Utah for the annual 4th of July with our daughter in law’s family.
We loaded the Yukon with all our fishing gear. We stopped on the way up and fished .
We always enjoy the 4th with the family, get to enjoy Rita, Merritt, and Dave.
Then on to Northern Calif. to see Shan and Nancy at their cabin on the Sacramento. Hiked some on the trail along the Sacramento, We ended up floating in our float tubes on 5 lakes. Yes, we caught some fish but hope for more next year.
Phoenix is too hot to do much hiking this time of year so will be going back to Utah and to the White Mountains here in Arizona.
Ann’s Back at 3 years:
ln October we headed to Kansas for our Niece's wedding. Our Grand Daughter Merritt was the flower girl. We had a great time. My brother and all of his family gathered there. Shan and Nancy, Dave and Rita were there so was my sister Debbie and her family. After the wedding we went on up to our farm land near the Nebraska border to see our corn crop. This all took about a week on the road. I did great.
We went to San Francisco to Dave, Rita and Merritt's for Thanksgiving. There is not enough room in San Francisco to take a Yukon so we flew. We did not get sick! First time on a plane to come home well. Took care of my own suitcase. We have very light ones and take very little.
I am now at my 3 year post surgery. Dr. Kakarla says that the rods and screws are holding He does not think that they will be going anywhere. Also, that I can have the screws removed in the iliac if they continue to bother me. I do not want them removed and take the chance of the spine curving. The tight feeling is normal. I am not to come back for 2 years.
As of January I had all of my yearly check ups. I don't know who had a cold but I caught it. What puts most down for about 3 days for me a week is more like it. People around us need to remember that we seem to get sicker than most with all of the screws and rods. I find that I get hotter and colder than I did before the surgery. Every time we cough, sneeze, or lay around for a lengthy time the "worms" go wild. And stiffness sets in .The tightness that sets in is worse. In short, we have to have all our shots and try to stay away from people that are sick.
Most weeks I get 4 miles 5 times a week on a hiking trail on South Mountain.
We have bought a
tread mill for the days that are too cold or too hot to hike outside.
I have found a drink that will help a lot with your intestines that don't want to work. Our son and daughter in-law make these to give them the protein and nutrients that they need. They are lronmen as are our other son and daughter in-law. They take a scoop of 30gram whey protein, a hand full of kale, a hand full of spinach, a hand full of blueberries, a banana, and two cups of Soy milk. Pop it into your blender, I have the ninja, turn it on full and you will have a great drink. Have it at lunch and every thing will be great in the morning. Always check with your doctor that this is okay for you.
We have to try not to get too tired. Our bodies will tell us. I explain it that I feel ditzy. Unless there is something of note,I will check back in with an up date at my 5 year post surgery. You can always email me direct at AnnMorganArizona@gmail.com
It is now 5 years since my surgery. This last 2 years have been no fun with the scare of Covid. Year 3 seemed to be when I was most ready to say that I no longer had scoliosis but I now have rods and screws. I could hike up to 6 miles at a time, mostly on South Mountain and East Mesa mountains. We spent the 4th of July in Utah with family then we were off to the Shasta California area to fish.
The last 2 years found us close to home, hiking 4 miles a day on South Mountain. When we received our 2nd Covid shot we were off to Atlanta for the high school graduation of our Grandson James and to celebrate the graduation of our Granddaughter Grace from UCLA with a double major . We had a great time seeing all the family. We drove there and back with a cooler because most of the fast food and resturants were closed. It was a 3 day drive. I was very stiff when getting out from the long drives but really had no pain.
When we got back we headed to Utah for the 4th of July. Loved seeing family and friends and fun fishing lakes. I caught a 6 pound cutthroat trout that took me over an hour in my float tube to bring it up and net it. I never could have done that before the surgery.
The 2021 Thanksgiving was a happy weekend. Family were here for several days and we had big meals. This was our 60th wedding anniversary and they made it special for us.
When it was too hot to hike I did the tread mill a couple hours and then swam 30 links of the pool each day. When it cooled off I was back to the 4 mile hike. Yes, my back ALWAYS feels tight. The screws in the hips are the worse. After swimming, the area at the shoulder blades is very tight. I found that if the water was any cooler than about 89 degrees I had to take it slow getting in. The whole back would get so tight that I could hardly breathe. 92 degrees is where I like it.
I get some pin pricks now and again. I don`t like to sit for long periods of time. I have to use a small pillow behind my back to fit in the Yukon driver seat. Also need one to have a pedicure. (I cannot reach my toes!) I have never had a maid. I have the windows done and yard work help. I schedule one cleaning project each day. By 8:30 at night my back wants to lie down in my wonderful bed. We have a nice TV that I enjoy in bed.
The x-rays for the 5 year checkup show that everything is holding just fine. I was ready to have them make sure that the rods and screws were still doing okay. Remember those of us that have had this much surgery, find that doctors, family and people around us have a hard time remembering that we cannot do what others can. I carry my pictures of the x-rays in my phone.
Here are my January 2022 x-rays


An Update:
As 2023 got under way, my leg started hurting so bad that I went from hiking 4 miles every day to 3 then 2 and down to not being able to hike at all. Then my appendix decided it needed to come out in January.
I went to Barrow Spine and Brain pain clinic. They put an injection in my knee and in the hip. There was no change. It was decided that I needed a new hip. It takes a long time to see a surgeon. The first one did not want to do it because of the screws in the ilium.
I researched the surgeons and discovered that an anterior approach was best for me. Dr. Kaper in Scottsdale was the best. I had to wait several months to see him. I also was put on a waiting list at Mayo.
Finally the day came. Dr. Kaper replaced the hip at 4PM and I went home the next morning. No more pain! Within 2 weeks I was ready to get going. Now you do need a few things to help at home. Those of us that have had scoliosis surgery have most of them. The leg lift to get in bed, the bidet, hiking pole and gripper are the most helpful.

Home Physical Therapy Equipment that you use in PT Simple hiking or workout clothes that can be washed and dried quick for hospital and PT. Over sized mens cotton T shirts to sleep in at home. Simple slip on shoes for the hospital and PT. The gripper is used every day! The sock assist is a must have when you start wearing shoes. I can not put on my socks without it. You will not be able to tie your shoes for some time. I now put my foot on the edge of the tub or stool. The little pillow is for driving, flying, or sitting in a chair. My body does not fit in any chair. On the plane their seat made my head bend down
2025 update on my scoliosis journey:
I will be 84 in about a month. I can hike on the base of South Mountain in Phoenix, Arizona 4 miles. I had been hiking up to 6 miles before my hip wore out. That took about a year to get the new hip. I had been in so much pain that I really got weak from not being able to hike. The tightness in my back has gotten worse and the coccyx seems to have changed some. I think that it is from arthritis. Also my scapulas and shoulders have discomfort. I was having cramps in the night in my legs and found that magnesium lotion before bed helps a lot. I have been rubbing it also on my lower back. CBD 2500 milligram salve helps with the shoulder pain.
Suggestions are to keep moving. I swim in the summer and use a small tread mill. When it is cooler I start hiking. I now carry hiking poles on the uneven trail or when I get tired. I don't have help with the house work but schedule one thing a day. I have a window washer a couple times a year. I have tall ceilings so need help cleaning the high shutters. I no longer climb the tall ladder.
I read where most want to know what pain killer to take. I do not take anything more than an aspirin now and again. No pain medicine works. I do not take any medications of any kind. I am very careful of my diet. I read all labels and try to avoid the chemicals. Sugar is something that I avoid and remember that cereal and breads turn to sugar. In short I spend money on getting the best food at the grocery.